Tratamento para Dor no Joelho e Condropatia
Técnicas terapêuticas para recuperação da função articular e redução da dor.


Hérnia de Disco
Tratamento que reduz sintomas e melhora a função da coluna vertebral.
Oferecemos tratamentos especializados em fisioterapia e osteopatia, com foco na identificação das causas da dor e na recuperação funcional do corpo, promovendo mais saúde e qualidade de vida.
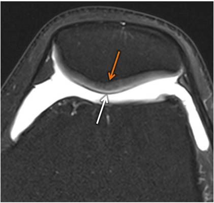
A dor anterior no joelho está frequentemente associada à condropatia, condição relacionada ao desgaste da cartilagem articular.
A osteopatia utiliza técnicas que auxiliam na normalização do eixo biomecânico entre quadril, joelho e tornozelo, contribuindo para a melhora da função articular e redução da dor.
Dúvidas Frequentes
Dor no joelho pode ser tratada sem cirurgia?
Sim. A fisioterapia e a osteopatia podem auxiliar na recuperação funcional e redução da dor.
É normal sentir dor ao subir escadas?
Dúvidas Frequentes (FAQ)
Respostas rápidas para suas principais perguntas.


Pode indicar alterações articulares que precisam ser avaliadas.
A condropatia tem tratamento?
Sim. O tratamento adequado pode ajudar a reduzir os sintomas e melhorar a função do joelho.
Fale conosco
Telefone
contato@institutojeffersonsilva.com.br
© 2025 Instituto Jefferson Silva. Todos os direitos reservados. Compromisso com saúde, ciência e movimento humano.
CNPJ: 50.621.567/0001-53


